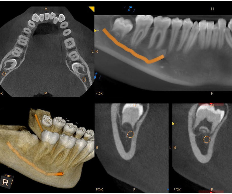
A full-arch dental implant restoration is a life-changing solution for patients who are missing most or all of their teeth, offering a stable, fixed alternative to dentures. Using as few as four to six strategically placed implants, we support an entire upper or lower arch of natural-looking teeth that stay securely in place—no slipping, adhesives, or nightly removal. At National Dental Implant Center of Hauppauge, we use advanced CBCT imaging, digital planning, and guided surgical techniques to ensure each implant is positioned with exceptional accuracy for long-term success. This modern full-arch approach restores full chewing ability, enhances facial support, and delivers a confident, functional smile that looks and feels completely natural.


Beyond aesthetics, full-arch implant restorations are designed to protect long-term oral health and facial structure. When multiple teeth are missing, the jawbone naturally shrinks over time, leading to a sunken appearance and changes in bite alignment. By placing implants that integrate directly with the bone, we restore essential support, stimulate bone retention, and create a strong foundation for a long-lasting smile. At National Dental Implant Center of Hauppauge, our digitally guided workflow ensures every step — from implant placement to final bridge design — is executed with exceptional precision. The result is a durable, functional, and natural-looking full-arch restoration that allows patients to eat, speak, and live with complete confidence.
We provide a full range of implant solutions, including single dental implants, implant bridges, All-on-X full arch restorations, implant-supported dentures, extractions with immediate implant placement, and full mouth reconstruction.
Single implants replace one missing tooth, implant bridges replace several missing teeth using multiple implants, and All-on-X is a full-arch solution that restores an entire upper or lower set of teeth using as few as four implants.
Most patients experience little to no discomfort thanks to modern anesthesia and guided surgical techniques. Mild soreness afterward is normal and can be managed with over-the-counter pain relief.
With proper brushing, flossing, and regular cleanings, dental implants can last decades — often a lifetime. The crown may need replacement over time due to normal wear, but the implant itself is designed for long-term stability.
%20copy%205.png)
A permanent, natural-looking replacement for a missing tooth, placed with 3D-guided precision for long-lasting strength.

A stable, durable solution for replacing multiple missing teeth without relying on traditional crowns or removable partials.

Snap-in or fixed dentures that offer improved stability, comfort, and function compared to traditional removable dentures.
Submit your information and we’ll reach out to finalize your appointment time. Whether you need a single implant or full-arch restoration, our Hauppauge team is here to help you move forward with confidence.
Fill out the form below, and we’ll get back to you as soon as possible.